
Exames

Ecocardiograma com Strain
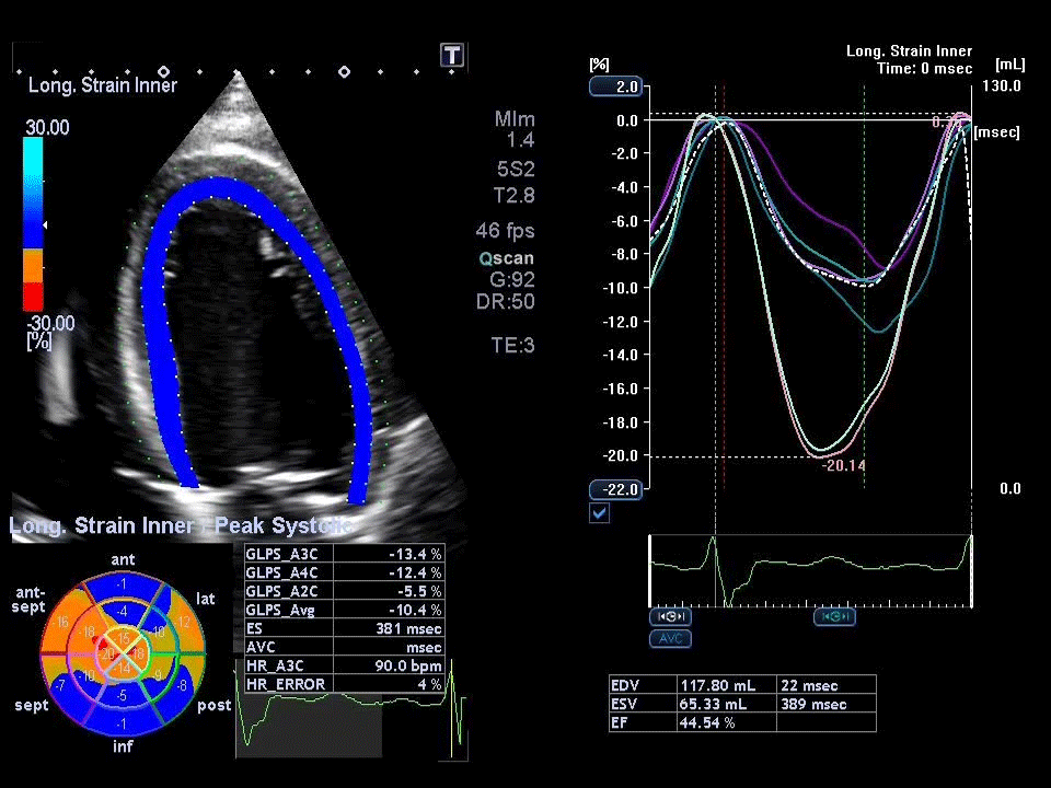
O Ecocardiograma Strain é uma tecnologia avançada do ecocardiograma que permite analisar de forma detalhada a função do músculo cardíaco, identificando alterações sutis na contratilidade do coração antes mesmo de surgirem sintomas ou disfunções visíveis nos exames tradicionais. Esse exame é fundamental para detectar precocemente problemas como cardiomiopatias, efeitos de quimioterapia sobre o coração e outros danos que podem comprometer a função cardíaca.
Na NovaCardio, o Ecocardiograma Strain é realizado com equipamentos de última geração e interpretado por especialistas, garantindo um diagnóstico preciso e um acompanhamento personalizado.
Indicações principais:
-
Avaliação precoce de disfunção ventricular
-
Monitoramento cardíaco em pacientes oncológicos (cardiotoxicidade por quimioterapia)
-
Diagnóstico e acompanhamento de cardiomiopatias
-
Análise de insuficiência cardíaca em estágios iniciais
-
Avaliação de doenças valvares e hipertensão arterial
Essa análise mais sensível proporciona uma avaliação funcional muito mais refinada, sendo essencial para decisões clínicas mais assertivas.













